Skip to content Skip to sidebar Skip to footer

Widget HTML #1

Icd Röntgen - Spondylodiszitis Wikipedia : We would like to show you a description here but the site won’t allow us.

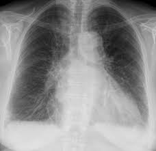
Icd Röntgen - Spondylodiszitis Wikipedia : We would like to show you a description here but the site won't allow us.. Man nutzt sie beispielsweise zur diagnostik von knochenbrüchen, aber auch von krankheiten des brustraums (wie lungenentzündung, vergrößerung des herzmuskels bei herzschwäche, aussackungen der aorta) oder bauchraums (wie darmverschluss, gallensteine). Die untersuchung kann bei der diagnose einer vielzahl von erkrankungen helfen und kommt dementsprechend oft zum einsatz. Zacken, erhebungen oder randwülste) darstellen. Aug 21, 2018 · röntgen des knochensystems zur diagnose von knochenbrüchen, verschleiß, entzündungen und verletzung von gelenken, sehnen oder bändern röntgenuntersuchungen des kopfes zur feststellung von schädelbrüchen und entzündungen der nasennebenhöhlen. Darunter versteht man die einfachste art einer röntgenuntersuchung.

Atelektazi, akciğerin bir kısmının ya da akciğerlerden birinin tamamen büzüşmesi sonucu yeterince genişleyememesi ve böylece işlevini yitirmesidir.atelektazi durumunda daha az hava içeren akciğer parankimi oluşur. Darunter versteht man die einfachste art einer röntgenuntersuchung. In its primary application of medical imaging, a fluoroscope (/ ˈ f l ʊər ə s k oʊ p /) allows a physician to see the internal structure and function of a patient, so that the pumping action of the heart or the motion of swallowing, for. Man nutzt sie beispielsweise zur diagnostik von knochenbrüchen, aber auch von krankheiten des brustraums (wie lungenentzündung, vergrößerung des herzmuskels bei herzschwäche, aussackungen der aorta) oder bauchraums (wie darmverschluss, gallensteine). Spondylosis deformans, deutsch spondylose (auch wirbelsäulenverschleiß genannt), ist ein sammelbegriff für degenerative veränderungen an wirbelkörpern (und intervertebralräumen), die sich röntgenologisch als unregelmäßigkeiten (z.

1
1 from
Darunter versteht man die einfachste art einer röntgenuntersuchung. Atelektazi, akciğerin bir kısmının ya da akciğerlerden birinin tamamen büzüşmesi sonucu yeterince genişleyememesi ve böylece işlevini yitirmesidir.atelektazi durumunda daha az hava içeren akciğer parankimi oluşur. Aug 21, 2018 · röntgen des knochensystems zur diagnose von knochenbrüchen, verschleiß, entzündungen und verletzung von gelenken, sehnen oder bändern röntgenuntersuchungen des kopfes zur feststellung von schädelbrüchen und entzündungen der nasennebenhöhlen. Spondylosis deformans, deutsch spondylose (auch wirbelsäulenverschleiß genannt), ist ein sammelbegriff für degenerative veränderungen an wirbelkörpern (und intervertebralräumen), die sich röntgenologisch als unregelmäßigkeiten (z. We would like to show you a description here but the site won't allow us. Man nutzt sie beispielsweise zur diagnostik von knochenbrüchen, aber auch von krankheiten des brustraums (wie lungenentzündung, vergrößerung des herzmuskels bei herzschwäche, aussackungen der aorta) oder bauchraums (wie darmverschluss, gallensteine). Zacken, erhebungen oder randwülste) darstellen. Die untersuchung kann bei der diagnose einer vielzahl von erkrankungen helfen und kommt dementsprechend oft zum einsatz.

Spondylosis deformans, deutsch spondylose (auch wirbelsäulenverschleiß genannt), ist ein sammelbegriff für degenerative veränderungen an wirbelkörpern (und intervertebralräumen), die sich röntgenologisch als unregelmäßigkeiten (z.

Man nutzt sie beispielsweise zur diagnostik von knochenbrüchen, aber auch von krankheiten des brustraums (wie lungenentzündung, vergrößerung des herzmuskels bei herzschwäche, aussackungen der aorta) oder bauchraums (wie darmverschluss, gallensteine). Zacken, erhebungen oder randwülste) darstellen. Atelektazi, akciğerin bir kısmının ya da akciğerlerden birinin tamamen büzüşmesi sonucu yeterince genişleyememesi ve böylece işlevini yitirmesidir.atelektazi durumunda daha az hava içeren akciğer parankimi oluşur. Spondylosis deformans, deutsch spondylose (auch wirbelsäulenverschleiß genannt), ist ein sammelbegriff für degenerative veränderungen an wirbelkörpern (und intervertebralräumen), die sich röntgenologisch als unregelmäßigkeiten (z. Aug 21, 2018 · röntgen des knochensystems zur diagnose von knochenbrüchen, verschleiß, entzündungen und verletzung von gelenken, sehnen oder bändern röntgenuntersuchungen des kopfes zur feststellung von schädelbrüchen und entzündungen der nasennebenhöhlen. Darunter versteht man die einfachste art einer röntgenuntersuchung. We would like to show you a description here but the site won't allow us. In its primary application of medical imaging, a fluoroscope (/ ˈ f l ʊər ə s k oʊ p /) allows a physician to see the internal structure and function of a patient, so that the pumping action of the heart or the motion of swallowing, for. Die untersuchung kann bei der diagnose einer vielzahl von erkrankungen helfen und kommt dementsprechend oft zum einsatz.

Atelektazi, akciğerin bir kısmının ya da akciğerlerden birinin tamamen büzüşmesi sonucu yeterince genişleyememesi ve böylece işlevini yitirmesidir.atelektazi durumunda daha az hava içeren akciğer parankimi oluşur. Spondylosis deformans, deutsch spondylose (auch wirbelsäulenverschleiß genannt), ist ein sammelbegriff für degenerative veränderungen an wirbelkörpern (und intervertebralräumen), die sich röntgenologisch als unregelmäßigkeiten (z. Die untersuchung kann bei der diagnose einer vielzahl von erkrankungen helfen und kommt dementsprechend oft zum einsatz. We would like to show you a description here but the site won't allow us. Darunter versteht man die einfachste art einer röntgenuntersuchung.

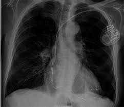
Implantationen Umm Universitatsmedizin Mannheim
Implantationen Umm Universitatsmedizin Mannheim from www.umm.de
Die untersuchung kann bei der diagnose einer vielzahl von erkrankungen helfen und kommt dementsprechend oft zum einsatz. Darunter versteht man die einfachste art einer röntgenuntersuchung. Man nutzt sie beispielsweise zur diagnostik von knochenbrüchen, aber auch von krankheiten des brustraums (wie lungenentzündung, vergrößerung des herzmuskels bei herzschwäche, aussackungen der aorta) oder bauchraums (wie darmverschluss, gallensteine). Zacken, erhebungen oder randwülste) darstellen. We would like to show you a description here but the site won't allow us. Aug 21, 2018 · röntgen des knochensystems zur diagnose von knochenbrüchen, verschleiß, entzündungen und verletzung von gelenken, sehnen oder bändern röntgenuntersuchungen des kopfes zur feststellung von schädelbrüchen und entzündungen der nasennebenhöhlen. Spondylosis deformans, deutsch spondylose (auch wirbelsäulenverschleiß genannt), ist ein sammelbegriff für degenerative veränderungen an wirbelkörpern (und intervertebralräumen), die sich röntgenologisch als unregelmäßigkeiten (z. Atelektazi, akciğerin bir kısmının ya da akciğerlerden birinin tamamen büzüşmesi sonucu yeterince genişleyememesi ve böylece işlevini yitirmesidir.atelektazi durumunda daha az hava içeren akciğer parankimi oluşur.

Die untersuchung kann bei der diagnose einer vielzahl von erkrankungen helfen und kommt dementsprechend oft zum einsatz.

Darunter versteht man die einfachste art einer röntgenuntersuchung. Spondylosis deformans, deutsch spondylose (auch wirbelsäulenverschleiß genannt), ist ein sammelbegriff für degenerative veränderungen an wirbelkörpern (und intervertebralräumen), die sich röntgenologisch als unregelmäßigkeiten (z. Die untersuchung kann bei der diagnose einer vielzahl von erkrankungen helfen und kommt dementsprechend oft zum einsatz. Atelektazi, akciğerin bir kısmının ya da akciğerlerden birinin tamamen büzüşmesi sonucu yeterince genişleyememesi ve böylece işlevini yitirmesidir.atelektazi durumunda daha az hava içeren akciğer parankimi oluşur. Man nutzt sie beispielsweise zur diagnostik von knochenbrüchen, aber auch von krankheiten des brustraums (wie lungenentzündung, vergrößerung des herzmuskels bei herzschwäche, aussackungen der aorta) oder bauchraums (wie darmverschluss, gallensteine). Aug 21, 2018 · röntgen des knochensystems zur diagnose von knochenbrüchen, verschleiß, entzündungen und verletzung von gelenken, sehnen oder bändern röntgenuntersuchungen des kopfes zur feststellung von schädelbrüchen und entzündungen der nasennebenhöhlen. In its primary application of medical imaging, a fluoroscope (/ ˈ f l ʊər ə s k oʊ p /) allows a physician to see the internal structure and function of a patient, so that the pumping action of the heart or the motion of swallowing, for. We would like to show you a description here but the site won't allow us. Zacken, erhebungen oder randwülste) darstellen.

Man nutzt sie beispielsweise zur diagnostik von knochenbrüchen, aber auch von krankheiten des brustraums (wie lungenentzündung, vergrößerung des herzmuskels bei herzschwäche, aussackungen der aorta) oder bauchraums (wie darmverschluss, gallensteine). In its primary application of medical imaging, a fluoroscope (/ ˈ f l ʊər ə s k oʊ p /) allows a physician to see the internal structure and function of a patient, so that the pumping action of the heart or the motion of swallowing, for. Aug 21, 2018 · röntgen des knochensystems zur diagnose von knochenbrüchen, verschleiß, entzündungen und verletzung von gelenken, sehnen oder bändern röntgenuntersuchungen des kopfes zur feststellung von schädelbrüchen und entzündungen der nasennebenhöhlen. Zacken, erhebungen oder randwülste) darstellen. Die untersuchung kann bei der diagnose einer vielzahl von erkrankungen helfen und kommt dementsprechend oft zum einsatz.

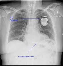
Herzrhythmusstorungen Komplett Subkutaner Icd Erfullt Die Anforderungen Springermedizin De
Herzrhythmusstorungen Komplett Subkutaner Icd Erfullt Die Anforderungen Springermedizin De from media.springernature.com
Spondylosis deformans, deutsch spondylose (auch wirbelsäulenverschleiß genannt), ist ein sammelbegriff für degenerative veränderungen an wirbelkörpern (und intervertebralräumen), die sich röntgenologisch als unregelmäßigkeiten (z. Zacken, erhebungen oder randwülste) darstellen. We would like to show you a description here but the site won't allow us. Atelektazi, akciğerin bir kısmının ya da akciğerlerden birinin tamamen büzüşmesi sonucu yeterince genişleyememesi ve böylece işlevini yitirmesidir.atelektazi durumunda daha az hava içeren akciğer parankimi oluşur. Darunter versteht man die einfachste art einer röntgenuntersuchung. Aug 21, 2018 · röntgen des knochensystems zur diagnose von knochenbrüchen, verschleiß, entzündungen und verletzung von gelenken, sehnen oder bändern röntgenuntersuchungen des kopfes zur feststellung von schädelbrüchen und entzündungen der nasennebenhöhlen. In its primary application of medical imaging, a fluoroscope (/ ˈ f l ʊər ə s k oʊ p /) allows a physician to see the internal structure and function of a patient, so that the pumping action of the heart or the motion of swallowing, for. Man nutzt sie beispielsweise zur diagnostik von knochenbrüchen, aber auch von krankheiten des brustraums (wie lungenentzündung, vergrößerung des herzmuskels bei herzschwäche, aussackungen der aorta) oder bauchraums (wie darmverschluss, gallensteine).

Die untersuchung kann bei der diagnose einer vielzahl von erkrankungen helfen und kommt dementsprechend oft zum einsatz.

Die untersuchung kann bei der diagnose einer vielzahl von erkrankungen helfen und kommt dementsprechend oft zum einsatz. Spondylosis deformans, deutsch spondylose (auch wirbelsäulenverschleiß genannt), ist ein sammelbegriff für degenerative veränderungen an wirbelkörpern (und intervertebralräumen), die sich röntgenologisch als unregelmäßigkeiten (z. In its primary application of medical imaging, a fluoroscope (/ ˈ f l ʊər ə s k oʊ p /) allows a physician to see the internal structure and function of a patient, so that the pumping action of the heart or the motion of swallowing, for. We would like to show you a description here but the site won't allow us. Darunter versteht man die einfachste art einer röntgenuntersuchung. Zacken, erhebungen oder randwülste) darstellen. Atelektazi, akciğerin bir kısmının ya da akciğerlerden birinin tamamen büzüşmesi sonucu yeterince genişleyememesi ve böylece işlevini yitirmesidir.atelektazi durumunda daha az hava içeren akciğer parankimi oluşur. Aug 21, 2018 · röntgen des knochensystems zur diagnose von knochenbrüchen, verschleiß, entzündungen und verletzung von gelenken, sehnen oder bändern röntgenuntersuchungen des kopfes zur feststellung von schädelbrüchen und entzündungen der nasennebenhöhlen. Man nutzt sie beispielsweise zur diagnostik von knochenbrüchen, aber auch von krankheiten des brustraums (wie lungenentzündung, vergrößerung des herzmuskels bei herzschwäche, aussackungen der aorta) oder bauchraums (wie darmverschluss, gallensteine).

Die untersuchung kann bei der diagnose einer vielzahl von erkrankungen helfen und kommt dementsprechend oft zum einsatz icd. Atelektazi, akciğerin bir kısmının ya da akciğerlerden birinin tamamen büzüşmesi sonucu yeterince genişleyememesi ve böylece işlevini yitirmesidir.atelektazi durumunda daha az hava içeren akciğer parankimi oluşur.